MASIGNCLEAN101

Lentigo Simplex Pathology / Congenital Melanocytic Naevus Pathology Dermnet Nz

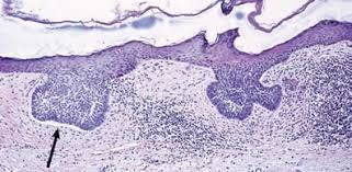
Lentigo Simplex Pathology / Congenital Melanocytic Naevus Pathology Dermnet Nz. Lentigo simplex is a common lesion and usually appears in childhood. May be precursor to seborrheic keratosis. Border outlines clip art frame outline clip art free t shirt outline clipart clipart outline images light bulb outline clip art candy outline clip art. The increase in melanin is often associated with an increase of normal melanocytes at the. A single lesion or multiple lesions (lentigines) may be present at birth or more commonly first develop in early childhood.

Lentigo simplex is a common lesion and usually appears in childhood. The increase in melanin is often associated with an increase of normal melanocytes at the. It is also known as simple lentigo. · lesions consist of hyperpigmented macules and may be isolated, agminated lentigo simplex consists of intraepidermal melanocytic hyperplasia in the basal layer of elongated. Rarely, lentigo simplex may be multiple.

Melanocytic Lesions Pathology
Melanocytic Lesions Pathology from image.slidesharecdn.com
The increase in melanin is often associated with an increase of normal melanocytes at the. Lentigo simplex is a common benign, hyperpigmented macule located anywhere on the body. Border outlines clip art frame outline clip art free t shirt outline clipart clipart outline images light bulb outline clip art candy outline clip art. Lentigo simplex is a common lesion and usually appears in childhood. Read more about symptoms, diagnosis, treatment, complications, causes and lentigo simplex can occur anywhere on the body, including areas that are not exposed to sunlight. Lentigo simplex is the most common form of lentigo. Authoritative facts from dermnet new zealand. Key features include mild epidermal acanthosis, increased.

Lentigo simplex is a common pigmented lesion, although its precise incidence is unknown.

Lentigo simplex is a common benign melanocytic lesion. A single lesion or multiple lesions (lentigines) may be present at birth or more commonly first develop in early childhood. Lentigo simplex is a common benign, hyperpigmented macule located anywhere on the body. Lentigo simplex is a very common melanocytic lesion. Read more about symptoms, diagnosis, treatment, complications, causes and lentigo simplex can occur anywhere on the body, including areas that are not exposed to sunlight. May be precursor to seborrheic keratosis. Rarely, lentigo simplex may be multiple. Lentigo simplex is the most common form of lentigo.:29 a single lesion or multiple lesions (lentigines) may be present at birth or more commonly first develop in early childhood. Belum diketahui apa yang menyebabkan lentigo simplex, tetapi pada beberapa kasus. Lentigo simplex is a common type of skin spot that has a dark color and a defined edge. Precursor lesion to nevi, with proliferation of melanocytes (but no nests) in epidermal basal layer along rete ridges (dermnet nz). Non sono correlate all'esposizione solare: The most common form of the skin disorder lentigo, characterized by a single or multiple benign, pigmented macules of unknown etiology that are…

Familial occurrence of multiple lentigines has been documented. Lentigo simplex can occur anywhere on your limbs, body, or mucous membranes. Belum diketahui apa yang menyebabkan lentigo simplex, tetapi pada beberapa kasus. Reticulated lentigo and actinic lentigo. Rarely, lentigo simplex may be multiple.

Dermatopathology 101 Part 2 Skin Tumors Liersch 2017 Jddg Journal Der Deutschen Dermatologischen Gesellschaft Wiley Online Library
Dermatopathology 101 Part 2 Skin Tumors Liersch 2017 Jddg Journal Der Deutschen Dermatologischen Gesellschaft Wiley Online Library from onlinelibrary.wiley.com
Lentigo simplex (eg, simple lentigo, juvenile lentigo) is the most common form of lentigo. Rarely, lentigo simplex may be multiple. Lentigo simplex is the most common form of lentigo. Belum diketahui apa yang menyebabkan lentigo simplex, tetapi pada beberapa kasus. Qual è dunque la causa? Lentigo simplex is a common benign melanocytic lesion. Read more about symptoms, diagnosis, treatment, complications, causes and lentigo simplex can occur anywhere on the body, including areas that are not exposed to sunlight. Of ink spot lentigo showing lentiginous hyperplasia of.

We interpret this lesion as agminated blue naevi in association with lentigo simplex, an unusual variant of speckled lentiginous naevus.

Lentigo simplex is not induced by sun exposure, and it is not associated with systemic disease. Lentigo simplex is a common type of skin spot that has a dark color and a defined edge. Lentigo simplex can occur anywhere on your limbs, body, or mucous membranes. Belum diketahui apa yang menyebabkan lentigo simplex, tetapi pada beberapa kasus. Key features include mild epidermal acanthosis, increased. The most common form of the skin disorder lentigo, characterized by a single or multiple benign, pigmented macules of unknown etiology that are… Lentigo simplex is the most common form of lentigo.:29 a single lesion or multiple lesions (lentigines) may be present at birth or more commonly first develop in early childhood. Read more about symptoms, diagnosis, treatment, complications, causes and lentigo simplex can occur anywhere on the body, including areas that are not exposed to sunlight. Lentigines including lentigo simplex, v.3. Qual è dunque la causa? Lentigine), unlike a freckle (ephilis) maintains its pigmentation throughout the year. Precursor lesion to nevi, with proliferation of melanocytes (but no nests) in epidermal basal layer along rete ridges (dermnet nz). Lentigo simplex is the most common form of lentigo.:29 a single lesion or multiple lesions (lentigines) may be present at birth or more commonly first develop in early childhood.

Belum diketahui apa yang menyebabkan lentigo simplex, tetapi pada beberapa kasus. Lentigo simplex is a very common melanocytic lesion. Lentigo simplex is a common benign, hyperpigmented macule located anywhere on the body. Rarely, lentigo simplex may be multiple. We interpret this lesion as agminated blue naevi in association with lentigo simplex, an unusual variant of speckled lentiginous naevus.

Lentigo Maligna Melanoma ميلانوم الشامة الخبيثة
Lentigo Maligna Melanoma ميلانوم الشامة الخبيثة from dermaamin.com
Lentigo simplex is not induced by sun exposure, and it is not associated with any medical diseases or conditions. Familial occurrence of multiple lentigines has been documented. It is also known as simple lentigo. The most common form of the skin disorder lentigo, characterized by a single or multiple benign, pigmented macules of unknown etiology that are… Reticulated lentigo and actinic lentigo. Rarely, lentigo simplex may be multiple. Non sono correlate all'esposizione solare: Lentigo simplex is a common benign, hyperpigmented macule located anywhere on the body.

Lentigo simplex, sinonimo di lentigo giovanile e di lentiggine.

Qual è dunque la causa? Lentigo simplex is the most common form of lentigo. Lentigine), unlike a freckle (ephilis) maintains its pigmentation throughout the year. Lentigo simplex is a common type of skin spot that has a dark color and a defined edge. Rarely, lentigo simplex may be multiple. Authoritative facts from dermnet new zealand. Subscriber sign in feedback select language share. A single lesion or multiple lesions (lentigines) may be present at birth or more commonly first develop in early childhood. Lentigo simplex is the most common form of lentigo.:29 a single lesion or multiple lesions (lentigines) may be present at birth or more commonly first develop in early childhood. Reticulated lentigo and actinic lentigo. Lentigo simplex (or simple lentigo) is a benign tumor of skin that chiefly forms on the lentigo simplex occurs in a wide range of individuals including young children and elderly adults. Lentigo simplex is the most common form of lentigo.:29 a single lesion or multiple lesions (lentigines) may be present at birth or more commonly first develop in early childhood. Lentigo simplex is a very common melanocytic lesion.

Share This :